Connect With Us

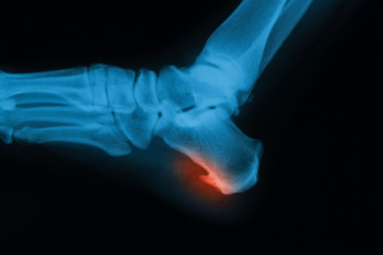
Bone spurs in the feet, also called osteophytes, form when the body produces extra calcium in response to stress, friction, or inflammation. These growths are not always painful, but they can interfere with nearby tissues and cause discomfort. Heel spurs are one of the most common types. They develop beneath the heel bone from strain on the plantar fascia or at the back of the heel due to tension from the Achilles tendon. Tarsal spurs occur in the midfoot, either on the top or bottom, and often make wearing shoes painful because of pressure against the spur. Toe joint spurs typically affect the big toe, leading to stiffness, limited motion, and pain while walking, especially when arthritis is present. A podiatrist can determine the cause of the bone spur, relieve pressure on surrounding structures, and recommend treatment. If you are experiencing foot or heel pain, it is suggested that you schedule an appointment with a podiatrist for an exam and appropriate treatment.
Foot Pain
Foot pain can be extremely painful and debilitating. If you have a foot pain, consult with Emil Babayev, DPM from New York. Our doctor will assess your condition and provide you with quality foot and ankle treatment.
Causes
Foot pain is a very broad condition that could be caused by one or more ailments. The most common include:
Diagnosis
To figure out the cause of foot pain, podiatrists utilize several different methods. This can range from simple visual inspections and sensation tests to X-rays and MRI scans. Prior medical history, family medical history, and any recent physical traumatic events will all be taken into consideration for a proper diagnosis.
Treatment
Treatment depends upon the cause of the foot pain. Whether it is resting, staying off the foot, or having surgery; podiatrists have a number of treatment options available for foot pain.
If you have any questions, please feel free to contact our offices located in Midwood and Kensington in Brooklyn, NY . We offer the newest diagnostic and treatment technologies for all your foot care needs.

Fitness facilities encourage strength, balance, and overall well-being, but they can also be a common setting for lower extremity injuries. Ankles, feet, and knees are especially vulnerable during weight training, running, or high-intensity classes. Poor footwear, uneven surfaces, and improper form can all contribute to strains, sprains, or stress fractures. Even overuse from repetitive motion can cause discomfort that worsens over time. Listening to your body and using proper support are key to avoiding injury and maintaining long-term mobility. Early evaluation helps prevent small problems from becoming major setbacks. If you experience pain, swelling, or instability after exercising, it is suggested that you see a podiatrist who can assess the cause and provide effective treatment to help you return to your fitness routine safely and with confidence.
Ankle and foot injuries are common among athletes and in many sports. They can be caused by several problems and may be potentially serious. If you are feeling pain or think you were injured in a sporting event or when exercising, consult with Emil Babayev, DPM from New York. Our doctor will assess your condition and provide you with quality foot and ankle treatment.
Common Injuries
The most common injuries that occur in sporting activities include:
Symptoms
Symptoms vary depending upon the injury and in some cases, there may be no symptoms at all. However, in most cases, some form of symptom is experienced. Pain, aching, burning, bruising, tenderness, tightness or stiffness, sensation loss, difficulty moving, and swelling are the most common symptoms.
Treatment
Just as symptoms vary depending upon the injury, so do treatment options. A common treatment method is known as the RICE method. This method involves rest, applying ice, compression and elevating the afflicted foot or ankle. If the injury appears to be more serious, surgery might be required, such as arthroscopic or reconstructive surgery. Lastly, rehabilitation or therapy might be needed to gain full functionality in the afflicted area. Any discomfort experienced by an athlete must be evaluated by a licensed, reputable medical professional.
If you have any questions please contact our offices located in Midwood and Kensington in Brooklyn, NY . We offer the newest diagnostic and treatment technologies for all your foot and ankle needs.

Pain from plantar fasciitis develops when the thick band of tissue running along the bottom of the foot becomes irritated or inflamed. This fascia connects the heel bone to the toes and supports the arch with every step. Common causes of plantar fasciitis include repetitive stress from long-distance running or standing for extended periods of time, as well as sudden changes in activity levels. Wearing shoes that lack adequate support, frequently using flip-flops, or walking barefoot on hard surfaces can also place additional strain on the heel. Structural factors such as flat feet or very high arches may increase pressure. Tight calf muscles and a shortened Achilles tendon can limit flexibility and pull excessively on the fascia. Over time, small tears may form, creating persistent heel pain that is often most noticeable first thing in the morning. A podiatrist can identify the underlying cause and recommend the best treatment. If you are experiencing symptoms of plantar fasciitis, it is suggested that you schedule an appointment with a podiatrist.
Plantar fasciitis is a common foot condition that is often caused by a strain injury. If you are experiencing heel pain or symptoms of plantar fasciitis, contact Emil Babayev, DPM from New York. Our doctor can provide the care you need to keep you pain-free and on your feet.
What Is Plantar Fasciitis?
Plantar fasciitis is one of the most common causes of heel pain. The plantar fascia is a ligament that connects your heel to the front of your foot. When this ligament becomes inflamed, plantar fasciitis is the result. If you have plantar fasciitis you will have a stabbing pain that usually occurs with your first steps in the morning. As the day progresses and you walk around more, this pain will start to disappear, but it will return after long periods of standing or sitting.
What Causes Plantar Fasciitis?
There are some risk factors that may make you more likely to develop plantar fasciitis compared to others. The condition most commonly affects adults between the ages of 40 and 60. It also tends to affect people who are obese because the extra pounds result in extra stress being placed on the plantar fascia.
Prevention
There are a variety of treatment options available for plantar fasciitis along with the pain that accompanies it. Additionally, physical therapy is a very important component in the treatment process. It is important that you meet with your podiatrist to determine which treatment option is best for you.
If you have any questions, please feel free to contact our offices located in Midwood and Kensington in Brooklyn, NY . We offer the newest diagnostic and treatment technologies for all your foot care needs.

Morton’s neuroma, also called a plantar digital neuroma, is a painful condition caused by the thickening of tissue around a nerve between the toes, most commonly between the third and fourth toes. It often develops from pressure, irritation, or injury to the nerve. Risk factors include wearing tight shoes or high heels, engaging in high-impact sports, and having foot deformities, such as flat feet or high arches. Many people notice symptoms that may include sharp, burning pain in the ball of the foot, tingling, or the feeling of a pebble inside the shoe. A podiatrist can provide an accurate diagnosis, orthotic support, and treatment options to relieve pain and prevent recurrence. If you have pain in this part of your foot, it is suggested that you schedule an appointment with a podiatrist who can provide effective treatment solutions.
Morton’s neuroma is a very uncomfortable condition to live with. If you think you have Morton’s neuroma, contact Emil Babayev, DPM of New York. Our doctor will attend to all of your foot care needs and answer any of your related questions.
Morton’s Neuroma
Morton's neuroma is a painful foot condition that commonly affects the areas between the second and third or third and fourth toe, although other areas of the foot are also susceptible. Morton’s neuroma is caused by an inflamed nerve in the foot that is being squeezed and aggravated by surrounding bones.
What Increases the Chances of Having Morton’s Neuroma?
Morton’s neuroma is a very treatable condition. Orthotics and shoe inserts can often be used to alleviate the pain on the forefront of the feet. In more severe cases, corticosteroids can also be prescribed. In order to figure out the best treatment for your neuroma, it’s recommended to seek the care of a podiatrist who can diagnose your condition and provide different treatment options.
If you have any questions, please feel free to contact our offices located in Midwood and Kensington in Brooklyn, NY . We offer the newest diagnostic and treatment technologies for all your foot care needs.
Connect With Us
