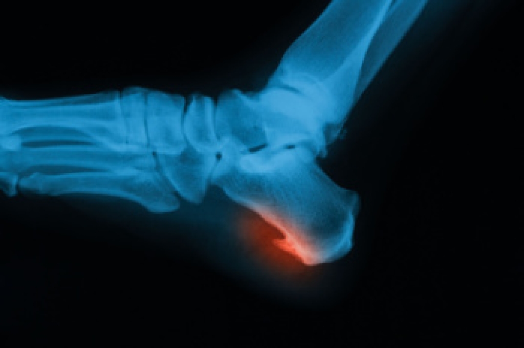
Types of Bone Spurs in the Feet

Bone spurs in the feet, also called osteophytes, form when the body produces extra calcium in response to stress, friction, or inflammation. These growths are not always painful, but they can interfere with nearby tissues and cause discomfort. Heel spurs are one of the most common types. They develop beneath the heel bone from strain on the plantar fascia or at the back of the heel due to tension from the Achilles tendon. Tarsal spurs occur in the midfoot, either on the top or bottom, and often make wearing shoes painful because of pressure against the spur. Toe joint spurs typically affect the big toe, leading to stiffness, limited motion, and pain while walking, especially when arthritis is present. A podiatrist can determine the cause of the bone spur, relieve pressure on surrounding structures, and recommend treatment. If you are experiencing foot or heel pain, it is suggested that you schedule an appointment with a podiatrist for an exam and appropriate treatment.

Foot Pain

Foot pain can be extremely painful and debilitating. If you have a foot pain, consult with Emil Babayev, DPM from New York. Our doctor will assess your condition and provide you with quality foot and ankle treatment.

Causes

Foot pain is a very broad condition that could be caused by one or more ailments. The most common include:

  • Bunions
  • Hammertoes
  • Plantar Fasciitis
  • Bone Spurs
  • Corns
  • Tarsal Tunnel Syndrome
  • Ingrown Toenails
  • Arthritis (such as Gout, Rheumatoid, and Osteoarthritis)
  • Flat Feet
  • Injury (from stress fractures, broken toe, foot, ankle, Achilles tendon ruptures, and sprains)
  • And more

Diagnosis

To figure out the cause of foot pain, podiatrists utilize several different methods. This can range from simple visual inspections and sensation tests to X-rays and MRI scans. Prior medical history, family medical history, and any recent physical traumatic events will all be taken into consideration for a proper diagnosis.

Treatment

Treatment depends upon the cause of the foot pain. Whether it is resting, staying off the foot, or having surgery; podiatrists have a number of treatment options available for foot pain.

If you have any questions, please feel free to contact our offices located in Midwood and Kensington in Brooklyn, NY . We offer the newest diagnostic and treatment technologies for all your foot care needs.

Read more about Foot Pain

Connect With Us

scroll-to-top